Metoda care permite să îţi creşti propriii dinţi în doar nouă săptămâni!

15/06/2016 -15:14
Imagine

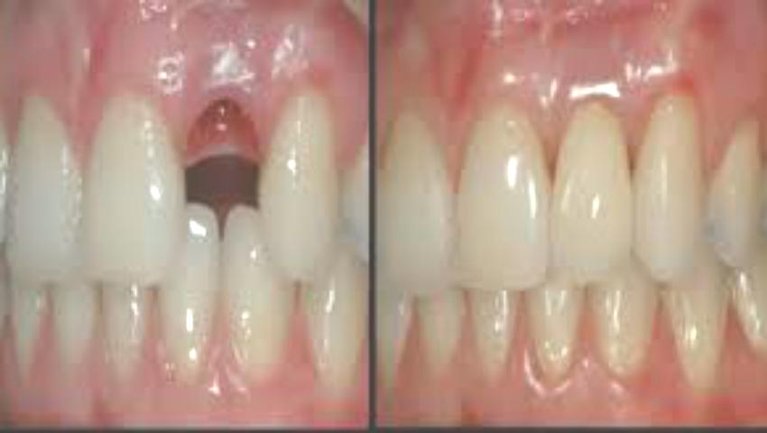
Implanturile dentare sunt considerate o soluţie binevenită pentru a umple un gol după ce a fost scos un dinte sau chiar mai mulţi. Mai nou, experţii stomatologi au făcut o descoperire prin care îţi oferă şansa să îţi creşti chiar un dinte propriu, nou, în cavitatea bucală.

Dr. Jeremy Mao de la Universitatea din Columbia a fost conducătorul acestei cercetări. Profesorul a construit un esafod pentru dinţi, conţinând celule stem din organism. El de fapt  a ajutat la regenerarea noilor dinţi folosind doar AND-ul acestora. Tehnologia modernă promite un viitor strălucit pentru medicina dentară.Implanturile dentare sunt o soluţie optimă, însă acestea pot dezvolta şi complicaţii: implanturile dentare pot fi respinse de către organism, au un preţ ridicat, pot cauza infecţii. Dacă dentistul nu are suficientă experienţă, acestea pot afecta gingia.

Regenerarea dinţilor

Noua tehnologie oferă oportunitatea de a creşte propriii dinţi din celule stem în doar nouă săptămâni. Materialul creat trebuie să fie plasat şi acceptat de către organism. Dintele care lipseşte este înlocuit cu materalul din celule stem, din propriul corp, şi se îmbină cu ţesutul care-l înconjoară. Acesta este procesul de regenerare, care rezultă într-o recuperare rapidă. Astfel dinţii noi nu riscă să fie rejectaţi de către organism.

Dinţii de lapte căzuţi sunt comori de aur! Motivul pentru care să nu-i arunci

Procedura nu este încă universal valabilă, ci se află în proces de cercetare şi aşteaptă aprobarea din partea autorităţilor medicale.

sursa