Premieră medicală în țara noastră! Medicii moldoveni au operat cu succes o tumoare craniană cu localizare profundă

20/07/2022 -19:03
Imagine

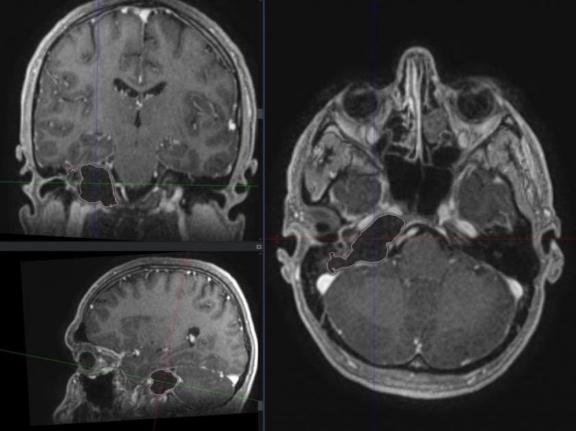
În premieră, medicii specialiști neurochirurgi de la Institutul de Medicină Urgentă au operat cu succes o tumoră de bază craniană profundă. Pacientul chiar din prima zi postoperator a reușit să se deplaseze și nu a prezentat deficit neurologic adițional. A fost externat din spital după cinci zile de la intervenție.

Potrivit instituției, tumorile de bază craniană sunt unele din cele mai complexe intervenții în neurochirurgie. Deseori acești pacienți sunt refuzați de mulți medici specialiști din cauza complexității accesului și complicațiilor catastrofale posibile intra sau/și postoperatorii.

Pacientul care a fost operat este un bărbat de 40 de ani, diagnosticat cu tumoră gigantă de bază craniană profundă cu extindere în apexul petros, urechea internă și fosa posterioară.

Pacientul a fost supus intervenției neurochirurgicale în Departamentul de Neurochirurgie din cadrul IMSP Institutului de Medicină Urgentă de înlăturare în totalitate a tumorii. Intervenția a fost posibilă atât datorată experienței echipei neurochirurgicale și neuro-anesteziei cât și tehnicii folosite intraoperatorii (microscop performant, drill cu viteză înaltă, neuronavigație). Durata intervenției a fost de patru ore.

Din echipa de intervenție a făcut parte Andronachi Victor, șef Departament Neurochirurgie IMSP IMU; Alexandru Andrusca, medic curant, neurochirurg; Diana Boleac, șefă Anesteziologie și Terapie Intensivă Nr.2, anestezistă; Anastasia Barcari, medică anestezistă; Nicolina Savin, asistentă medicală de operație.