Misterul din New Jersey. Peste 100 de absolvenți ai aceluiași liceu au făcut o formă rară de cancer cerebral

01/06/2022 -21:21
Imagine

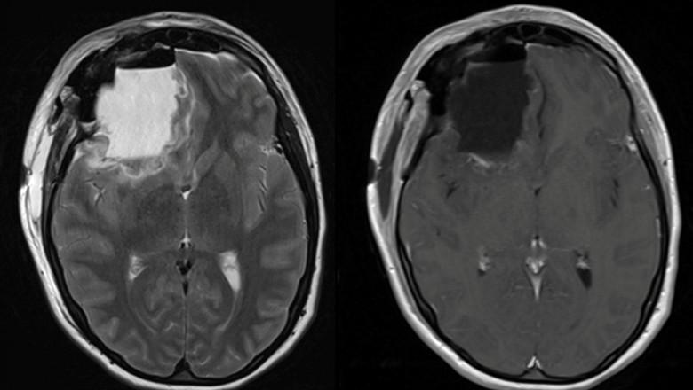
Peste 100 de persoane care au absolvit același liceu din New Jersey au fost diagnosticate cu forme rare de cancer cerebral, context în care a fost declanșată o investigație pentru a se stabili dacă există vreo legătură între ele.

Investigația demarată luna trecută a vizat contextul în care peste 100 de elevi care au mers la același liceu din New Jersey au făcut o formă rară de cancer cerebral. Ancheta nu a găsit nicio legătură între școală și diagnostic.

Luna trecută, Al Lupiano a spus că a fost diagnosticat cu această boală când avea 27 de ani. Ulterior, sora și soția lui au fost și ele diagnosticate cu cancer cerebral. Toți trei au urmat cursurile liceului Colonia din Woodbridge, New Jersey, scrie Insider.

NBC Today a raportat că peste 100 de elevi care au mers la acel liceu au avut același diagnostic.

Primarul orașului Woodbridge, John McCormac, a spus că în urma investigației derulate nu a fost găsită în școală nicio potențială cauză declanșatoare a bolii.

John McCormac a declarat că s-au făcut inclusiv teste de radiații în interiorul și în exteriorul clădirii. Aceste teste nu au indicat nicio dovadă că există riscuri care să justifice investigații suplimentare, a adăugat McCormac.

„Este o veste grozavă pentru actualii elevi ai Liceului Colonial și pentru părinții lor, care sunt îngrijorați pentru siguranța lor, împreună cu actualii membri ai personalului. Este o veste grozavă și pentru toți foștii elevi care au absolvit și pentru personalul care a lucrat la Liceul Colonia, înființat în 1968”, a mai spus primarul.

Compania specializată în inginerie de mediu, care a realizat investigația, nu a găsit nicio relație cauză-efect între boală și, respectiv, clădirea sau terenul aparținând liceului, potrivit lui McCormac.

sursa