Cumplit. Medicii au scos zeci de pietre și capace de plastic din stomacul unui bărbat

20/02/2019 -19:41
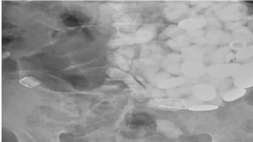
Imagine

Un bărbat s-a prezentat la spital cu dureri acute de stomac și vărsături, iar după ce l-au examinat, medicii au avut parte de un adevărat șoc.

Bărbatul, în vârstă de 54 de ani, din Coreea de Sud, avea peste două kilograme de pietre și capace de plastic în stomac, motiv pentru care abia se mai putea mișca din cauza durerilor.După operație, bărbatul le-a mărturisit cadrelor medicale că a ingerat acele obiecte pentru a se trata de anxietate."N-am avăzut așa ceva toată cariera mea. De obicei extragem din stomac oase de pește sau pui. Mai rar ca cineva să înghită pietre în mod voluntar.", a declarat doctorul Choi, potrivit Mirror.co.uk.sursa