Intervenție chirurgicală majoră efectuată în premieră, unui bebeluș nou-născut, la Institutul Mamei și Copilului

19/10/2021 -13:54
Imagine

În cadrul Centrului Național Științifico-practic Chirurgie Pediatrică "Natalia Gheorghiu" al Institutului Mamei și Copilului a fost realizată, pentru prima dată, o intervenție chirurgicală complexă. Este vorba despre un bebeluș care s-a născut cu hernie diafragmatică congenitală. Medicii au efectuat reconstrucția defectului diafragmatic, prin abord abdominal și video asistat toracoscopic.

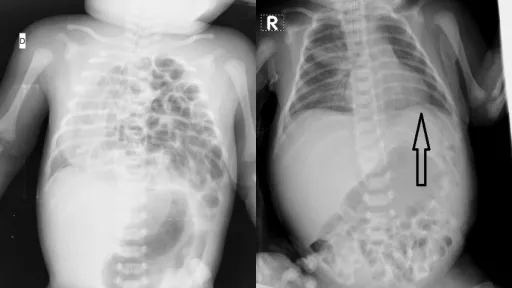
Înainte de operație: se observă toate ansele intestinului prezente în cutia toracică a bebelușului.

La examenul antenatal, la ecografie de 20 săptămâni de gestaţie, bebelușului i-a fost suspectată o anomalie gravă - hernia diafragmatică pe stânga, cu hipoplazie pulmonară bilaterală. Cazul s-a aflat la evidenta medicilor specialiști. Copilul s-a născut la termen prin operaţie cezariană, cu greutatea de 4.1 kg. Postnatal, diagnosticul a fost confirmat prin examinări imagistice, constatându-se amplasarea în torace a anselor intestinului subţire şi gros cu deplasarea contralaterală a organelor mediastinului (dextropoziţia cordului) și o compresie majoră a plămânului hipoplaziat.

Pe data de 10 septembrie, micuțul a fost operat.

La intervenţia chirurgicală au fost implicați specialişti din diverse domenii, inclusiv: chirurgie toracică, chirurgia nou-născuţi, chirurgi endoscopică, astfel fiind realizată o intervenţie chirurgicală complexă pentru prima dată la copii cu astfel de patologie.

Cu ajutorul toracoscopiei s-a reușit reducerea parţiala a anselor în cavitatea abdominală, prin defectul diafragmatic, totodată fiind confirmată hipoplazia plămânului stâng. Ținând cont de malrotația intestinală prezentă, s-a recurs la laparotomie subcostală pe stânga cu reducerea anselor în cavitatea abdominală, amplasarea lor în poziție anatomică şi realizarea plastiei defectului hemidiagrafmului stâng prin abord abdominal, intervenția fiind video asistată toracoscopic.

După operație: intestinele sunt readuse în cavitatea abdominală, iar defectul diafragmatic este înlăturat.

Echipa de medici a fost formată din: doctor în științe medicale Revenco Ina, doctor în științe medicale Danci Alexandru, Ambros Igor - medici chirurgi pediatri; Ersov Egor - medic anesteziolog, ghidaţi de şeful CNȘP CP “ Natalia Gheorghiu” al IMC, doctorul habilitat în științe medicale dl Stanislav Babuci şi şeful secţiei Anesteziologie pediatrică dr. Serghei Malanco; Asistente medicale: Larisa Litiuc şi Liubovi Lanciu.

Postoperator, starea copilului a fost gravă pe parcursul a 2 săptămâni, ulterior fiind constatată ameliorarea treptată și restabilirea deplină a parametrilor vitali. Copilul a fost externat după 3 săptămâni din staționar în stare satisfăcătoare, cu un volum de alimentație satisfăcător, anunță medicii.